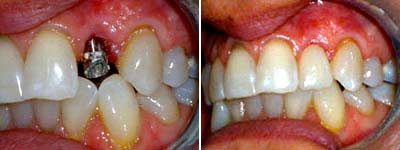
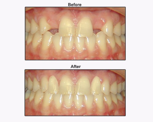
Not sure if getting dental implants is the right decision for you? Check out this gallery of before and after photos of people who chose to get implants and now have more comfortable, permanent, natural looking and beautiful smiles.




















What to Read Next
- How to Save Money on Dental Implants
- Types of Dental Implants
- How Painful are Dental Implants?
- Dental Implant Problems – What Can Go Wrong
- How to Find a Dentist You Can Trust
Over to You
If you’ve had implant(s) done, how did they turn out? Let us know in the comments! If you have a before or after pic to share, that would be really cool!


My screw cap came out of one of my implants. I am pretty much healed & almost ready for the teeth to go in. How important is it that I get right in to the dental office to get that screw cap put back in? Can I wait 8 days from now to have the screw cap put back on or should I go in ASAP? Also does it hurt to have it put back on?
Between September of 2013 and March of 2014, I paid $35,000 ($10,000) to the oral surgeon and $25,000 to the dentist, for all on 4 dental implants on the top of my mouth. I did not have unhealthy teeth but rather a horrible history of TMJ dysfunction with severe headaches. Both the surgeon and the dentist both told me that this restoration of my bite would help the headaches and the bite issue.
Worst mistake of my life. For the past 17 months, I have had to go back to the dentist for adjustments to my implants. They hurt badly and the more I talk, the more I hurt. My speech is off, my appearance is off…. I have blisters on the roof of my mouth from the implants. I can’t even go on. All I know is that if I want to be somewhat comfortable with these $35,000 “improvements”, then i had better just be quiet and don’t talk. This has ruined my career and very soon, my life as I cannot take this extreme pain anymore.
Do not get implants!!! Beware of the dentist! Mine came highly recommended and as of today, he has no idea how to help me.
My life is pretty much over…..Be careful with yours! To clarify, I have had to go back to the dentist EVERY 2 WEEKS, for 17 months for adjustments to the implants and still, I am not even close to being out of pain.
dls60525
Please tells us what has happened with your problems
I got a quote for $8,200 for 2 dental implants and a permanent bridge. Needless to say I going for a second onion. I am leary of dentist who right away want to pull out teeth for their own benefit not mine.
I’m missing a tooth in the front at the top and this has been the case for about five years ..I want to know the cost of this dental implants before obtaining one, and is it still advisable after five years.
Like to schedule a consults, and some actions already started by dds who I am very unhappy with.
He’s extracted 5 teeth have more to be ditracted. One tooth broke while they were working on my mouth. He added 5 restorative composite fillings that were close to gum line, color is not right and one filling of 5 or 6 has already fallen out.
Also after making 5 extractions on the top. One has already falling out… Need help badly!
I’m missing one tooth in the front at the top and three more will be gone soon. I plan to get some dental care started but hate to wait a year before the benefits can pay off. It’s not attractive for women to have no teeth at least in the front of our mouths.